0
27/11/2025
Ký sinh trùng là nhóm sinh vật sống bám vào cơ thể sinh vật khác để lấy dinh dưỡng và phát triển. Chúng hiếm khi gây chết ngay, nhưng làm tôm suy yếu, chậm lớn, dễ bùng phát dịch bệnh và giảm năng suất. Trong ao nuôi, nhiều loại ký sinh trùng có thể tấn công tôm với các biểu hiện và mức độ nguy hiểm khác nhau.
CÁC LOẠI KÝ SINH TRÙNG TRÊN TÔM VÀ DẤU HIỆU NHẬN BIẾT
Ký sinh trùng là nhóm sinh vật sống bám vào cơ thể sinh vật khác để lấy dinh dưỡng và phát triển. Chúng hiếm khi gây chết ngay, nhưng làm tôm suy yếu, chậm lớn, dễ bùng phát dịch bệnh và giảm năng suất. Trong ao nuôi, nhiều loại ký sinh trùng có thể tấn công tôm với các biểu hiện và mức độ nguy hiểm khác nhau.
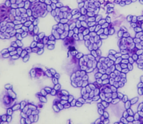
1. Vi bào tử trùng EHP (Enterocytozoon hepatopenaei)

EHP là tác nhân phổ biến gây chậm lớn ở tôm. Chúng sống trong tế bào biểu mô gan tụy, hút dinh dưỡng dự trữ của tôm. Vì thế mà đây là lý do tôm ăn mãi không lớn và có kích thước nhỏ khi nhiễm ký sinh trùng. EHP không gây chết tôm hàng loạt ở ao nhưng sẽ làm giảm năng suất vụ nuôi.
Dấu hiệu: Tôm chuyển màu sữa hoặc trắng đục, giảm ăn, mềm vỏ, chết rải rác, ruột trống.
Nguyên nhân: Nhiễm từ tôm bố mẹ, ăn phải sinh vật nhiễm bệnh, độ mặn cao, mật độ nuôi dày.
Tác hại: Có thể khiến tôm phát triển không đồng đều, giảm ăn, chậm lớn, vỏ tôm mềm, gây stress tôm, khả năng tiêu hóa suy giảm và một số trường hợp tôm còn có thể bị ruột xoắn.
2. Haplosporidian & Hepatopancreatic Haplosporidiosis
Tác nhân gây tổn thương gan tụy, gặp ở tôm thẻ và tôm sú.
Dấu hiệu: Gan tụy co nhỏ, màu nhạt, tôm tăng trưởng chậm, FCR tăng.
3. Ký sinh trùng Gregarine

Loài này sống ký sinh trong đường ruột của tôm, làm tổn thương đến các biểu mô, niêm mạc ruột và đồng thời cũng khiến cho đường ruột bị tắc nghẽn tắc nghẽn. Gây bệnh phân trắng trong giai đoạn 40–50 ngày tuổi.
Dấu hiệu: Phân trắng nổi, ruột đứt quãng hoặc rỗng, tôm chậm lớn, mềm vỏ, màu sắc cơ thể tôm sẫm hơn bình thường và tôm có biểu hiện bỏ ăn hoàn toàn.
Nguyên nhân: Do trong ao có mật độ thả nuôi tôm quá dày và việc quản lý ao nuôi không tốt dẫn đến tích tụ lượng chất hữu cơ quá nhiều trong ao là môi trường cho Gregarine phát triển. Hoặc tôm ăn phải các loại ốc hến, nhuyễn thể, giun nhiều tơ bị nhiễm gregarine. Mặt khác, vào những ngày thời tiết nắng nóng kéo dài còn có thể tạo điều kiện cho Gregarine sinh sôi và phát triển.
Tác hại: Chậm lớn, tăng FCR, dễ mắc bệnh đường ruột.
4. Vermiform (Giả ký sinh trùng đường ruột)

Không phải vi sinh hay giun sán, mà là vi nhung mao gan tụy bị bong tróc.
Dấu hiệu: Do cũng khá tương đồng với ký sinh trùng Gregarine, tôm sẽ có triệu chứng thải ra các sợi phân trắng. Đồng thời nó xâm nhập vào gan tụy, ruột giữa khiến cho tôm ăn kém, tăng trưởng chậm, còi cọc, ốp thân, màu sắc tôm tối sẫm, đường ruột rỗng, đứt quãng, đứt khúc và khi bóp nhẹ sẽ thấy phân di chuyển trong ống ruột hoặc phần cuối ruột của tôm. Một số trường hợp còn ghi nhận ruột tôm bị cong, phình to và tiết ra chất dịch màu vàng.
Tác hại: Giảm tăng trưởng, dễ nhiễm bệnh, gây hội chứng phân trắng.
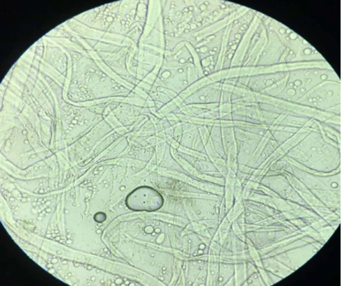
5. Ngoại ký sinh trùng (Epistylis, Zoothamnium, Tokophrya, Acineta, Vorticella)
Đây đều là những ký sinh trùng có đặc điểm đơn bào, có tập tính sống đơn lẻ hoặc sống thành tập đoàn. Trong số đó, Zoothamnium sp. và Vorticella sp. là hai loài thường xuyên để lại nhiều rủi ro đau đầu cho nhiều bà con trong suốt quá trình nuôi tôm, thường gặp nhiều nhất ở các trang trại tôm giống và ao nuôi thương phẩm.
Dấu hiệu: Bám nhiều trên vỏ, mang, phụ bộ; tôm hô hấp khó khăn.
Nguyên nhân: Vi khuẩn dạng sợi, protozoa, tảo lam – tảo silic.
Tác hại: Cản trở trao đổi khí, khó lột xác, giảm bắt mồi.
PHƯƠNG THỨC LÂY LAN
– Lây nhiễm dọc: từ tôm bố mẹ.
– Lây nhiễm ngang: tôm khỏe ăn tôm chết nhiễm bệnh.
– Lây nhiễm từ môi trường: ao ô nhiễm, nhiều bào tử.
CÁCH PHÒNG NGỪA
Bà con nên chủ động ngăn ngừa ngay từ đầu vụ nuôi nhằm hạn chế tôm nhiễm ký sinh trùng bằng các cách sau đây:
– Chọn tôm giống sạch bệnh từ các trang trại uy tín, đảm bảo sạch mầm bệnh và ký sinh trùng.
– Cải tạo ao kỹ lưỡng ở đầu mùa vụ phải đảm bảo về mặt kỹ thuật, nạo vét bùn bã hữu cơ thật kỹ càng để loại bỏ hoàn toàn các vật chủ trung gian gây bệnh ra khỏi ao nuôi.
– Xử lý nước đầu vào bằng túi lọc để các loài ấu trùng, trứng và nhuyễn thể không lọt vào ao nuôi.
– Ổn định pH, kiềm, DO.
– Xi phông đáy thường xuyên để loại bỏ các chất thải trong ao nuôi nhằm hạn chế việc tạo điều kiện thuận lợi cho ký sinh trùng phát triển.
– Bổ sung vi sinh Anti Vib để giảm các chủng khuẩn vibrio para, ổn định nước đảm bảo cho tôm không bị dính mầm bệnh