Tin tức Sự kiện
Chuyển đổi số ứng dụng trong nuôi tôm công nghệ cao

Chuyển đổi số ứng dụng trong nuôi tôm công nghệ cao

31/03/2022
Chuyển đổi số trong nuôi tôm CNC giúp giám sát môi trường và quản lý dịch bệnh hiện đang được Trung tâm Khuyến nông TP.HCM triển khai hỗ trợ nông dân Cần Giờ, Nhà Bè…
Xem chi tiết
Giá tôm bật tăng giữa đại dịch

Giá tôm bật tăng giữa đại dịch

03/12/2021
Sau thời gian dài sụt giảm nghiêm trọng, giá tôm nước lợ đã có chiều hướng tăng trưởng tốt. Thời điểm này không có nhiều người nuôi được hưởng lợi vì đã ở cuối vụ, tuy nhiên, đây là tín hiệu sáng để họ mạnh dạn tái đầu tư vụ mới, tránh cho lĩnh vực xuất khẩu tôm gặp khó vì nguyên liệu khan hiếm trong thời gian tới.
Vi khuẩn Bacillus coagulans giúp đề kháng bệnh hoại tử gan tụy cấp trên tôm

Vi khuẩn Bacillus coagulans giúp đề kháng bệnh hoại tử gan tụy cấp trên tôm

29/11/2021
Nghiên cứu mới đây cho thấy vi khuẩn Bacillus coagulans rất có tiềm năng trong nuôi trồng thủy sản. Chủng Bacillus coagulans trong chi Bacillus là một loại vi khuẩn hình thành bào tử gram dương, kết hợp cả hai thuộc tính Bacillus và LAB (axit lactic) có khả năng chống stress và tồn tại ở nhiệt độ cực cao, chịu được tính axit dạ dày, muối mật và ức chế vi khuẩn gây bệnh đường ruột.
Bến Tre: Giá tôm thẻ chân trắng tăng cao, người dân phấn khởi

Bến Tre: Giá tôm thẻ chân trắng tăng cao, người dân phấn khởi

24/11/2021
Mức giá có nơi tăng hơn 60.000-80.000 đồng/kg so với 5 tháng trước đó. Nông dân phấn khởi vì giá tôm tăng cao sau thời gian xuống dốc do ảnh hưởng bởi dịch COVID-19.
Chiến lược kiểm soát bệnh hoại tử gan tụy cấp tính (AHPND) trên tôm nuôi (P.2)

Chiến lược kiểm soát bệnh hoại tử gan tụy cấp tính (AHPND) trên tôm nuôi (P.2)

24/11/2021
Vi khuẩn gây bệnh AHPND chủ yếu tấn công vào tuyến tiêu hóa (gan tụy) và làm tổn thương các tế bào gan tụy dẫn đến rối loạn chức năng làm tôm chết hàng loạt. Tôm bị ảnh hưởng bởi AHPND có biểu hiện lờ đờ, giảm ăn, chậm lớn, đường tiêu hóa trống rỗng và gan tụy nhợt nhạt.
Chiến lược kiểm soát bệnh hoại tử gan tụy cấp tính (AHPND) trên tôm nuôi (P.1)

Chiến lược kiểm soát bệnh hoại tử gan tụy cấp tính (AHPND) trên tôm nuôi (P.1)

23/11/2021
Dịch bệnh do vi khuẩn như bệnh hoại tử gan tụy cấp tính (AHPND) đang ảnh hưởng nặng nề đến kinh tế và sự bền vững của của ngành nuôi tôm trong những năm qua. AHPND lần đầu tiên xuất hiện ở Trung Quốc vào năm 2009 sau đó lan sang Việt Nam, Malaysia, Thái Lan, Mexico, Philippines và Nam Mỹ.
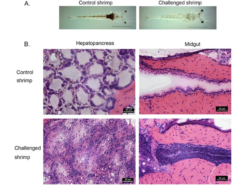
Một chủng mới có độc lực gấp 1000 lần hoại tử gan tụy cấp tính trên tôm nuôi

Một chủng mới có độc lực gấp 1000 lần hoại tử gan tụy cấp tính trên tôm nuôi

22/11/2021
Ngành công nghiệp tôm đã phải đối mặt với các bệnh truyền nhiễm nghiêm trọng, chẳng hạn như virus hội chứng đốm trắng (WSSV), virus gây bệnh hoại tử cơ quan tạo máu và cơ quan lập biểu mô (IHHNV), VAHPND, SHIV, virus đầu vàng (YHV), virus gây hội chứng Taura (TSV).
678910
Thông báo
Đóng